Why Our Pup had Surgery this Weekend

Why Our Pup had Surgery this Weekend

Here is the play-by-play why our 5-month old service pup, Nitro, had to have emergency surgery to start the 4th of July weekend….


Scene #1: After a Night on the Town
“Mom, I ain’t feelin’ too good”

IMG_4195


Scene #2: Examining the Patient
“Well, honey, let’s take a look and see what’s wrong”

B3621C73-


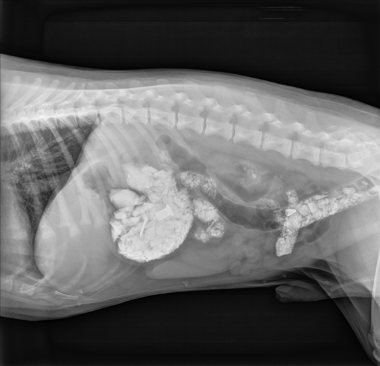
Scene #3: Problem Revealed
“Oh my, it seems you have eaten a collection of rocks!”

773BB21B-


Scene #4: Going to the Hospital
“We will have to take you in for emergency surgery”

redcross

playmobil-4346-vet-operating-room-box-9003800-0-1362349582000


Scene #5: Post-Op
“There now boy, just rest up & recover”

IMG_4196


Scene #6: Sheer & Utter Denial
“What rocks, I was fine the whole time!”

IMG_4217

Moral: “All’s well when you have a cat by your side…”

Update 7/18/17: Since his rock eating episode, Nitro successfully had his stitches taken out and now we are only waiting for him to “mature up” a touch before he returns to class…

Similar Posts

2 Comments

  1. Oh no! At least he is not a picky eater!! So glad Nitro is recuperating nicely – please get him some Milkbones!

  2. Are you sure those are just rocks? Looks like a diamond necklace to me. Nitro is a first class dog. Glad he came through OK, but seriously doubt if he learned a lesson on rock eating.

Leave a Reply

Your email address will not be published. Required fields are marked *

thirteen + nineteen =